整形外科
ご案内 スタッフ紹介 外来担当医表 お知らせ リウマチ専門外来 人工関節センター 診療実績 診療トピックス
ご案内
| ■診療内容 | 整形外科では頸から足までの骨、関節、神経、靭帯、筋肉の疾患を扱っています。スポーツや事故による「打撲」「腱・靭帯損傷」「半月板損傷」、「骨折」などの外傷疾患、加齢によっておこる「腰部脊柱管狭窄症」、「変形性膝関節症」、「五十肩」などの変性疾患、「関節リウマチ」、「骨粗鬆症」などの慢性疾患と多岐にわたります。当科はこれらの疾患に対して専門治療を行っています。 湖北・湖東地区の中心的な機能病院として、患者さんの健康長寿を維持推進できますように、信頼ある質の高い医療を提供できますよう、スタッフ一同努力して参ります。 |
|---|---|
| ■施設認定 | 日本整形外科学会研修施設 |
| ■診療方針 |
治療は保存療法と手術療法にわけられます。外傷疾患は手術療法が第一選択になることもありますが、慢性疾患の場合は基本的に保存療法が第一選択です。保存療法とは、内服や注射といった薬物やリハビリテーションや装具を用いた治療のことを意味します。数ヶ月の保存療法でも改善が見られず、日常生活にしょうがいがある場合は、インフォームド・コンセント(説明と同意)のもとに手術療法を選択します。 「腰痛がとれない」、「肩や首がこる」、「手足が痛い、しびれる」、「細かな作業ができない」「足がふらつく」、「長く歩けない」などは脊椎疾患が疑われます。「肩が痛い、挙がらない」、「足のつけねが痛い」、「膝が痛い」などは関節疾患が疑われます。症状のある方は一度当院に受診してください。 |
スタッフ紹介
| 役職等 | 名前 | 資格 |
|---|---|---|
| 責任部長 | 廣瀬 伸次 | 日本整形外科学会整形外科専門医 日本リウマチ学会リウマチ専門医 日本整形外科学会認定リウマチ医 |
| 部長 | 尾田 和広 | 日本整形外科学会整形外科専門医 日本リウマチ学会リウマチ専門医 |
| 部長 | 櫻木 淳史 | 日本整形外科学会整形外科専門医 |
| 部長 | 辻本 和之 | |
| 部長 | 河本 聡 | |
| 部長 | 久保田 宏和 | |
| 担当医師 (専攻医) |
家田 泰秀 | |
| 担当医師 (リハビリテーション科部長) |
江藤 謹司 | 日本整形外科学会整形外科専門医 日本整形外科学会認定リウマチ医、運動器リハビリテーション医 日本リハビリテーション医学会認定臨床医 日本摂食嚥下リハビリテーション学会認定士 日本骨粗鬆症学会認定医 |
| 嘱託医 (嘱託医・名誉院長) |
琴浦 良彦 | 日本整形外科学会整形外科専門医 日本がん治療認定医機構暫定教育医 |
| 担当医師 (嘱託医) |
杉本 正幸 | 日本整形外科学会整形外科専門医 日本脊椎脊髄病学会脊椎脊髄外科指導医 運動器リハビリテーション医 日本がん治療認定医機構暫定教育医 日本整形外科学会認定リウマチ医、脊椎脊髄病医 日本リハビリテーション医学会認定臨床医 厚生労働省義肢装具適合判定医 中部日本整形外科・災害外科;評議員 |
外来医担当表
外来担当医については、下記リンクをご参照ください。
休診、代診のお知らせについては、下記リンクをご参照ください。
お知らせ
人工関節センターからのお知らせ
当院では、成績が非常に良好で安定している人工股関節置換術、人工膝関節置換術を受けられる患者さんが非常に増加していることから、手術およびその後のリハビリを円滑に行い、術後の患者さんの不安を少しでも和らげるために人工関節センターを設置して、専任の医師と看護師を配置して診療業務を行っております。
昨年1年間での人工関節手術件数は、人工股関節置換術が124件、人工膝関節置換術が176件あり、非常に困難な人工関節の入れ替え手術も多数行っております。心臓病、糖尿病等の合併症のある患者さんの手術も、他科との連携で問題なく行えており、全身状態に不安のある患者さんも積極的に受け入れています。
痛みが強くて歩行が困難な患者さんには、できる限り待機時間を少なく手術を受けていただけるよう配慮しておりますが、予約手術が数ヶ月先まで決まっている場合がありますので、希望する手術時期が決まっている場合には早めの受診をお願いいたします。
なお、股関節外来は毎週火曜日、膝関節外来は毎週水曜日に行っており、それ以外の曜日でも随時受付しておりますので、お気軽に電話相談ください。
- 初診電話予約(午後1時~3時:専用ダイヤル0749-63-8088)
- 当日電話予約(午前8時~10時:専用ダイヤル0749-63-9996)
ロコモティブシンドローム
骨、関節、筋肉などの運動器の働きが衰えると、くらしの中の自立度が低下し、介護が必要になったり、寝たきりになる可能性が高くなります。運動器のしょうがいのために、要介護になっていたり、要介護になる危険の高い状態がロコモティブシンドロームです。
日本整形外科学会では、ロコモティブシンドロームを予防し健康長寿のために、日常生活の中での運動を推奨しております。ストレッチ、関節運動、体操、ウォーキング、各種スポーツなど自分にあったトレーニングをしましょう。詳しくは受診時にお尋ねください。
日本脆弱性骨折ネットワークへの研究参加について
市立長浜病院 整形外科では、大腿骨近位部骨折(脚の付け根の骨折)で治療された患者さんの診療情報を用いた研究を実施しております。この研究は、通常の診療で得られた情報から必要な情報を取り出し、まとめることによって行われるものです。このような研究は、厚生労働省・文部科学省・経済産業省の「人を対象とする生命科学・医学系研究に関する倫理指針」の規定により、研究内容の情報を公開することで対象となる患者さんのお一人ずつから直接ご同意をいただかずに実施することができます。研究対象となる患者さんにはこのお知らせをもって研究内容の情報公開とさせていただきます。何卒ご理解いただけますようお願いいたします。
なお、この研究を実施することによる患者さんへの新たな負担は一切ありません。また、患者さんのプライバシーの保護については法令等を遵守して研究を行います。本研究への利用を望まれない場合には、担当医師にご連絡ください。
詳細はこちら→日本脆弱性骨折ネットワークへの研究参加について.pdf (PDF 262KB)
リウマチ専門外来
関節リウマチの治療においては、近年薬物療法が目覚ましく発展し、患者さんのQOLも見違えるほど改善しました。
当院では、関節リウマチの患者さんも健常人と同じ生活ができることを目標に治療を行っています。そのためには、まずメソトレキサート(リウマトレックス)を中心とした薬物療法を行い、それでも十分な効果が得られなければ、生物学的製剤を積極的に使用して疾患の活動性をコントロールしています。また、患者さんのQOLの改善のためには、手術も有効な手段であると考えています。早期より積極的な治療介入が現在の関節リウマチ治療のグローバル・スタンダードであり、当院でもその考えに基づいて治療を行っています。
人工関節センター
人工関節置換術
傷んでいる関節部分をとりのぞき、人工の関節に置き換える手術です。他の治療法に比べて非常に除痛効果がすぐれており、近年目覚しく治療成績が向上しています。
現在の人工股関節や人工膝関節は、活動性にもよりますが、85%以上の確率で20年を越えて再置換手術をせずに使用できるようになっています。平均寿命から考えると、60~70歳で手術を受けることが最も人工関節の恩恵を受けると考えられます。しかし人工関節を再度置き換える手術の成績も向上していることから、疼痛が著しい方は年齢に関係なく、30~40歳で人工関節置換術を受けられる方もおられます。また、80歳以上でもたくさんの方が手術を受けておられます。
人工関節の適応となるのは、以下のような方です。
- 疼痛が強く、眠れないなど、日常生活や就労に支障をきたしている。
- 安静、薬物療法、理学療法などの保存的治療でも、痛みが改善されない。
- 画像(レントゲン検査、CT、MRI検査など)で、重度の関節症変化を呈している。
人工股関節置換術
人工股関節手術については、当院は日本の中では最も古くから手術室にクリーンルームを設置して行ってきており、感染率を非常に低く抑えることに成功しています。また、自己血輸血や回収血輸血を用いることによって、貧血の著しい方を除いて、ほぼ全ての手術において同種血輸血を回避できております。過去に行われた人工股関節手術の後に、インプラントがゆるんだ場合の入れ替えの手術も、安全に行われるようになっており、骨欠損の大きな症例に対しては、院内骨バンクを利用した同種骨移植にて対応しています。皮膚切開は、ほとんど症例で10cm程度です。また、手術はすべて麻酔科専門医による麻酔管理の下で行われています。
インプラントは、生体適合性に優れたコバルトクロム合金やチタン合金などの金属と、特殊なセラミックやプラスチック(超高分子ポリエチレン)から作られています。
インプラントの固定には、骨セメントといって金属と骨を接合する接着剤のようなものを用いる方法と、用いない方法があります。骨セメントを用いない方法では、人工関節の表面に特殊な加工(アルカリ加熱処理など)がされており、手術後に加工された表面に骨が入り込んで、骨と金属が結合することによって固定されます。どちらの方法を用いるかは、患者さんの骨の質や生活習慣、年齢などを考慮して選択しています。
リハビリテーションについては、荷重制限なく歩行練習を開始し、1週間でほとんどの方が杖歩行が可能となり、術後2~3週間で退院となります。おおよそ術後3週間程度で通院が可能となりますが、高齢の患者さんの場合などでリハビリテーションが進まない場合には、当院併設の療養型病床に移っていただいて、リハビリを継続することも可能です。また、当院では土曜日、日曜日のリハビリテーションも行っています。
以下に骨セメントを使う場合のインプラントと、骨セメントを使わないインプラントの例を提示します。

骨セメントを使用する人工股関節

骨セメントを使用しない人工股関節
当院では、人工関節センターの医師と看護師の下でそれぞれの患者さんの股関節可動域に応じた生活動作をきめ細かく指導しております。
術前に可能であった生活動作は術後もほとんど制限なく行えますし、ゴルフ・水泳等のスポーツも多くの方が楽しんでおられます。
人工膝関節
いたんだ大腿骨(太ももの骨)、脛骨(すねの骨)、膝蓋骨(おさらの骨)の表面を人工関節の形にあわせて切り、その後人工関節を骨セメント(骨と人工関節を接合する接着剤)を使用して固定します。当院では、術後の疼痛を緩和して早期の歩行能力・筋力を獲得するために、筋肉を切らないMIS(最少侵襲手術)という手術法も行っています。
以下に骨の模型ですが手術前と手術後の変化を呈示します。

手術前

手術後
その他に、人工肘関節や人工足関節などにも積極的に取り組んでいます。
合併症
手術には、可能性は低いですが起こりうる合併症があります。人工関節の手術において我々が留意している主な合併症をご説明します。
1.感染(化膿)
関節内が感染すると、手術した部位に熱をもったり、皮膚が赤くなる、皮膚から膿がでてきたりします。落下細菌が正常の手術室の100分の1のクリーンルームで、宇宙服のようなフィルター付きのガウンを使用するなど、あらゆる感染予防策を講じておりますので、感染率は非常に低く、1%未満です。人工関節感染に対する治療法も近年進歩しており、最終的には治療して歩いて退院される方がほとんどです。しかし、術後数年経過してから感染を生じる場合もあり、術後経過が良くても安心せず、風邪をこじらせたり、虫歯の放置や下肢の怪我をするといったことのないように気をつける必要があります。
市立長浜病院 整形外科 流式バイオクリーンルームでの人工関節手術-天井全面にヘパフィルターを設置しています。
流式バイオクリーンルームでの人工関節手術天井全面にヘパフィルターを設置しています

流式バイオクリーンルームでの人工関節手術天井全面に
ヘパフィルターを設置しています
2.深部静脈血栓症/塞栓症
深部静脈血栓症とは、下肢(太ももから足先)の静脈に血の塊(血栓)ができて血流を阻害する病気です。下肢がむくんだり、ふくらはぎが痛んだりします。その血栓が、血流に乗り肺まで到達し、肺の血管を閉塞すると、肺塞栓といって、肺の血管でうまく呼吸ができなくなり、胸の痛みや呼吸困難を自覚します。0.1~0.2%の確率で、重篤な肺塞栓を生じる可能性があります。
予防としても、弾性ストッキングをはいてもらい、患者さん自身に足の曲げ伸ばしの運動に励んでもらいますが、症例に応じて機械的マッサージや抗凝固薬の投与を行っています。
3.脱臼
無理な肢位にすると、人工関節がはずれることがあります。膝関節では極めて稀で、股関節においても初回手術で脱臼することはほとんどありませんが、術後3ヶ月間は脱臼する危険のある肢位にしないように気をつけることが必要です。術後のリハビリでこの肢位についても勉強していただきます。
4.人工関節の磨耗、ゆるみ
長年の経過の中で人工関節を使用していると、インプラントが破損したり、ゆるんだりして固定性が悪くなってきます。また、プラスチックの関節面がすり減ってきます。人工関節がすり減ると磨耗粉が出て、この磨耗粉が周辺の骨を溶かす原因となる場合があります。術後は定期的な外来受診が必要です。
※当院では、人工関節置換術を受けられた方や、これから受けられる患者さんに、入院中や退院後の不安を少しでも和らげるために、専門ナースを配置し、入院生活の説明や退院後の生活指導を行っております。詳しくは、当院整形外科外来受付、あるいは整形外科専門病棟(6階西病棟)までお尋ねください。
診療実績
診療実績(単位:件数)
| 手術 | 2024年 (1月~12月) |
2023年 (1月~12月) |
| 変形性膝関節症手術 | 142 | 140 |
| 大腿骨骨折手術 | 148 | 134 |
| 変形性股関節症手術 | 80 | 108 |
| 腰部脊柱管狭窄症手術 | 46 | 49 |
| 前腕骨折(肘関節含む) | 47 | 36 |
※2023年1月~2024年12月の入院での手術件数を集計しています。
診療トピックス
腰痛、下肢のしびれ、痛み
変形性腰椎症(変性側弯、すべり症)、腰部脊柱管狭窄症、腰椎椎間板ヘルニア、腰椎分離症などが考えられます。
腰痛だけの場合は保存療法が第一選択となりますが、レントゲンで腰椎の不安定性やズレが著しい場合や、圧迫骨折が完治しないままの場合などは手術をお勧めることがあります。細菌感染による疼痛や悪性腫瘍の転移による疼痛の場合もありますので注意が必要です。
腰椎椎間板ヘルニアの殆どの方は保存療法で軽快します。安静にしていただいた上で、疼痛に対して鎮痛剤を処方します。必要なら神経ブロックを行い疼痛をコントロールします。激しい疼痛が持続したり、足の筋力が低下したり、排尿しょうがいがある場合は手術が必要です。
腰部脊柱管狭窄症の方は、下肢のしびれや痛みが出現するために長い間立ってられない、休み休みしか歩けない(間欠性破行)などの症状がでてきます。腰を伸ばすと症状がきついため腰を曲げて歩くようになります。こうした症状が強い場合は手術をお勧めます。長期間症状が続いてからの手術は改善度が劣ります。
胸腰椎疾患の手術
黄色靱帯骨化症、腰部脊柱管狭窄症、腰椎椎間板ヘルニア、変性側弯症、腰椎すべり症などに対して以下のような手術を行っています。
(棘突起縦割式開窓術)
背中から骨を縦割りにして、中の脊柱管だけを広げ、縦割りした骨は元に戻します。これによって筋肉への侵襲を最小限にします。
(片側侵入両側除圧術)
片側の背中から骨を削って、両側の椎柱管を広げます。
(顕微鏡下/内視鏡下ヘルニア摘出術)
小さな皮膚切開で低侵襲にヘルニアを摘出します。
(PLIF/TRIF)
不安定性やずれのある脊椎に椎弓根スクリューやゲージを用いて固定します。
上肢の痛み、しびれ
上肢が痛い、しびれる、細かな手の動きができないなどの症状は頚椎、末梢神経の病変が考えられます。
頸椎症、頸椎椎間板ヘルニア、頚椎後縦靭帯骨化症などは、頸椎の変形にともなってざまざまな症状がでますが、首の痛み、肩こり、上肢のしびれなど(神経根症)は保存療法が第一選択となります。しかし痛みが強い場合、腕や手に力が入らない場合、歩くのにふらつく場合などの症状(脊髄症)がある場合は手術が必要となります。
頸椎の脊柱管(神経のとおり道)が狭く余裕のない方は、転倒や交通事故などの外傷を機に急に症状が進行することがありますので注意が必要です。
肘部管症候群、手根管症候群などは、注射や装具療法で症状軽快する場合がありますが、手のしびれにより日常生活に支障をきたしたり、筋力低下を認める場合は手術が必要になります。
頸椎疾患の手術
頸椎症、頸椎椎間板ヘルニア、後縦靱帯骨化症などに対して以下のような手術を行っています。
(前方固定術)
首の前から骨や椎間板を削って脊柱管を広げます。
(椎弓形成術)
首の後ろから椎弓といわれる骨を観音開きにして脊柱管を広げます。
(椎管孔拡大術)
より低侵襲に神経根のとおり道のみを選択的に広げます。
(後方固定術)
不安定な頚椎の固定に椎弓根スクリューなどを用いて固定します
肩が痛い
肩関節周囲炎いわゆる五十肩、関節拘縮、腱板断裂、インピンジメント症候群などが考えられます。
肩関節周囲炎(五十肩)は、リハビリ、注射、生活習慣の改善などの保存療法で改善することがほとんどです。しかし、痛いからと関節を動かさないでいると拘縮といって肩が動かなくなります。拘縮するとさらに疼痛が増し、悪循環に陥ります。
腱板断裂は、肩を挙げる腱が一部切れて、肩がうまく挙がらずに痛みがでます。肩をうまく挙げられるようにリハビリによる保存療法が第一選択です。3か月のリハビリにも症状が軽快しない場合や外傷を機に起こった場合は、関節鏡下に断裂した腱板を縫合する手術療法をお勧めします。
肩がはずれる
反復性脱臼・亜脱臼はスポーツなどで肩がすぐはずれたり、はずれそうになる方です。関節の不安定性が続くと、軟骨や骨が削れたりして変形してきます。筋力訓練などのリハビリでコントロールできない場合は手術療法が必要です。
膝が痛い
半月板損傷、変形性膝関節症などが考えられます。
変形性膝関節症は膝の軟骨がすり減る疾患で、歩行や階段の昇り降り、立ち上がりに膝の痛みを感じます。レントゲンですり減りの程度がわかります。鎮痛剤や関節内へのヒアルロン酸注射、太ももの筋肉を鍛えるリハビリ、サポーターや足底板をつける装具療法などの保存療法を行います。鎮痛剤がなくては生活できない方、痛みが強く日常生活に支障をきたしている方は手術をお勧めします。手術は軟骨損傷の程度によって関節鏡手術、矯正骨切り術、人工関節置換術があります。
半月板損傷は膝の関節のなかにある三日月状のクッションが断裂する疾患です。スポーツ、事故、日常生活で膝を捻ったり、旅行などでよく歩いたあとに膝の疼痛、ひっかかり感、脱力感などの症状がでます。膝に水がたまって腫れることもあります。症状が続く場合は関節鏡下に断裂した半月板を縫合したり部分的に切除する手術療法をお勧めします。
前十字靱帯損傷はスポーツや交通事故などで膝の靱帯が断裂する疾患です。関節の不安定性が続くと、半月板が断裂したり軟骨や骨が削れたりして変形してくるため手術療法が必要となります。断列した靱帯は元にはもどらないために太ももの裏の腱や膝の前の腱を利用して関節鏡下に再建する手術を行います。
関節鏡手術
関節鏡手術とは、7mm程の小さな穴を数箇所作成し、そこから内視鏡(カメラ)を挿入して関節の内部を見ながら、いろいろな処置をする手術です。その利点は、皮膚を大きく切開する従来の手術に比べて、傷が小さく目立たない、術後の痛みが軽い、機能回復が早い、入院期間が短期間ですむことなどがあげられます。
肩・肘・膝・股・足の関節に内視鏡を用いて手術を行うことが可能です。
主な疾患と手術
(膝関節)
前十字靱帯損傷、半月板損傷、膝蓋骨脱臼、離断性骨軟骨炎、変形性膝関節症などに対して、前十字靱帯再腱術、半月板縫合・切除術、骨軟骨移植術、滑膜切除術などを行います。
(肩関節)
腱板断裂、反復性脱臼、関節拘縮などに対して、腱板縫合術、バンカート修復術、授動術などを行います。
(肘関節)
関節ねずみ、離断性骨軟骨炎、変形性肘関節症などに対して、遊離体摘出、滑膜切除術などを行います。
(股関節)
関節唇損傷、変形性股関節症などに対して、関節唇縫合術、関節形成術、滑膜切除術などを行います。
(足関節)
靭帯損傷、軟骨損傷などに対して、靱帯縫合術、骨軟骨移植術、滑膜切除術などを行います。
ご相談があれば膝・肩・スポーツ外来(月1回・金曜日〈不定期〉)を受診してください。
股関節が痛い
関節唇損傷、変形性股関節症などが考えられます。
変形性股関節症は軟骨がすり減る疾患で、歩行や立ち上がりに痛みを感じます。レントゲンですり減りの程度がわかりますが、レントゲンで変形が強くても自覚症状が乏しいことがあります。鎮痛剤やリハビリなどの保存療法を行いますが、鎮痛剤がなくては生活できない方、痛みが強く日常生活に支障をきたしている方、レントゲンで変形が著しい方は手術をお勧めします。手術は軟骨損傷の程度によって関節鏡手術、骨切手術、人工関節置換術があります。
関節唇損傷はスポーツや日常生活の中で股関節を捻ったあとに、疼痛、ひっかかり感、脱力感などの症状がでます。症状が続く場合は関節鏡下に断裂した関節唇を縫合したり部分的に切除する手術療法をお勧めします。
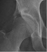
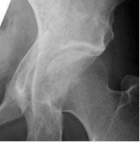
股関節骨温存手術について
臼蓋形成不全やそれに伴う軽度の変形のために、長時間歩行で脚がだる痛くなるなどの症状を訴える患者さんに対しては、リハビリなどの保存療法で改善しない場合に、臼蓋形成術および寛骨臼回転骨切術という2種類の手術療法で対応しております。いずれの手術を行うかは、年齢、股関節の変形の程度、社会的状況を考慮して決めさせていただいております。いずれの手術でも術後1週間程度で車椅子移乗が可能となり、1ヶ月から2ヶ月程度で退院が可能となります。

24歳、臼蓋形成術後2年

43歳、寛骨臼回転骨切術後2年
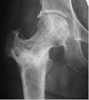
大腿骨頭壊死に対する骨温存手術として、大腿骨骨切術、減圧骨移植術を、年齢や骨壊死範囲、社会的状況を考慮して行っております。いずれの手術でも、術後6週間後から部分荷重を開始し、退院は2ヶ月程度で可能となります。

48歳、大腿骨頭前方回転骨切術後半年

術後3年
関節リウマチ
関節の滑膜に炎症が生じる疾患です。朝のこわばりや多関節痛で自覚することがあります。進行すると手関節、手指の関節、膝関節、股関節、肘関節、肩関節が徐々に破壊されます。重度の関節破壊にいたると疼痛を軽減するために手術が必要です。重度の関節破壊になるまえに適切な薬物治療、生活指導などが必要になります。薬物治療には副作用の強いものもあり注意が必要です。当科では内科の協力のもと薬物治療を行っています。
骨粗しょう症
骨量の減少をきたす全身性疾患で進行すると骨折しやすくなります。股関節、手関節、脊椎は特に骨折しやすく転倒にも注意する必要があります。高齢の方などに対して症状がなくても骨量を測る検査を行い、その結果をもとに必要な治療を行います。食事療法、運動療法の指導やビタミン製剤、ホルモン製剤、カルシウム製剤、ビスホスフォネート製剤などの薬物治療が主となります。閉経後の女性は疾患の予備軍であり、早期加療が大切な疾患ですので、気になる方は担当医に検査希望とお気軽に申し出てください。
