放射線科(治療部門)
ご案内 スタッフ紹介 外来担当医表 学会・論文発表 診療トピックス 受診方法 主な疾患と治療法 緩和照射 再照射 臨床研究
ご案内
| ■診療内容 |
放射線科(治療部門)では1996年4月よりX線による放射線治療を開始し、2008年4月から通常照射のほか、体幹部・脳への定位照射、強度変調放射線治療(IMRT)を含む高精度放射線治療を開始しています。 放射線治療は手術療法、薬物療法とともにがん治療の三本柱のひとつです。放射線治療は他と比較し低侵襲の特徴を持っており、以下のような大きな利点を有しています。
放射線治療は、早期がんであれば切らずに根治治療が可能となりますし、局所進行がんであれば手術や薬物療法と組み合わせることによって根治を目指すことが可能になります。手術後に再発した場合でも状況によっては根治治療が可能です。また骨や脳などに転移した方の症状緩和にも貢献しています。 |
|---|---|
| ■施設認定 | 日本医学放射線学会専門医修練機関 日本放射線腫瘍学会認定機関 |
スタッフ紹介
| 役職等 | 名前 | 資格 |
|---|---|---|
| 責任部長 | 芦田 良 | 日本放射線腫瘍学会および日本医学放射線学会共同認定放射線治療専門医 日本医学放射線学会研修指導者 日本医学放射線学会放射線科専門医 |
| 特任部長 (嘱託医) |
安永 敏美 | |
| 担当医師 (非常勤) |
足立 孝則 | |
| 担当医師 (非常勤) |
宇藤 恵 | |
| 担当医師 (非常勤) |
稲生 浩之 | |
| 担当医師 (非常勤) |
平島 英明 |
外来担当医表
外来担当医については、下記リンクをご参照ください。
休診、代診のお知らせについては、下記リンクをご参照ください。
学会・論文発表
学会・論文発表につきましては、下記リンクをご参照ください。
診療トピックス
放射線治療は体の外から放射線を照射する外照射と、放射線を出す線源を体の中に入れて体の中から照射する内部照射に分かれます。当院では外照射を行い、内部照射は実施可能な施設に紹介しています。
外照射はX線・電子線による一般的な外照射の他、特殊治療として体幹部定位放射線治療、脳定位放射線治療、強度変調放射線治療(IMRT)を積極的に行っています。
令和5年7月より新規放射線治療機器TrueBeam(バリアン社製)での放射線治療を開始致しました。
IMRTの進化版であるVMAT(強度変調回転照射)機能を有し、従来機に比べてさらに高精度に、より短時間での治療が可能となりました。

受診方法
当院の外来は原則紹介制をとっておりますので、予め「かかりつけ医」から予約をとっていただくようお願いします。
なお、放射線治療以外にも当院での抗がん剤治療や手術を希望される場合、経過観察や入院を希望される場合は、当科以外の該当する科(例えば肺がんなら呼吸器内科)の予約もおとりください。
診察の上、放射線治療を行うべきかどうかを検討し、必要であれば放射線治療の同意を頂いた上で、放射線治療の内容・日程を決定します。
*放射線治療を強く希望されましても、放射線治療をうけるメリットがない、あるいは、デメリットが大きい場合などはお断りさせていただくことがございます。
*当院で放射線治療を受けるよりも他の医療機関で放射線治療を受けた方が明らかにメリットがあると判断される場合は、その医療機関を紹介させていただくことがございます。
外照射の流れ
当院は直線加速器(リニアック)を1台有しており、X線と電子線を使用した外照射を行っています。主としてターゲット(腫瘍)の位置によりどのエネルギーのX線(もしくは電子線)を使用するか決定します。
多くの場合、照射の数日前にCTシミュレーションを行い、コンピューター上で放射線を照射する範囲や方向・方法を検討致します。治療回数は病変の種類、大きさ、場所、症状、治療の目的等によって1~40回と様々です。ほとんどの場合、平日1日1回照射を行います。治療時間は1回あたり10~30分程度です。

主な疾患と治療法
脳腫瘍
脳腫瘍には頭蓋内から発生した原発性脳腫瘍と、他の部位のがんが脳に転移した転移性脳腫瘍に分けられます。原発性脳腫瘍には悪性神経膠腫(グリオブラストーマ)などの悪性脳腫瘍と、髄膜種や聴神経腫瘍などの良性脳腫瘍があります。
腫瘍の種類、位置、大きさや腫瘍による症状、治療目的により放射線治療単独で治療したり、手術や薬物療法を組み合わせた放射線治療をしたりします。
照射線量は20~60Gy(グレイ)、照射期間は1~6週間程度です。
多くの場合、放射線治療に際し脳神経外科の診察が必要です。

髄膜腫。内頸動脈を巻き込み脳幹を圧迫している。
放射線治療で増大を抑止し症状が出現するのを予防する。
頭頸部がん
頭頸部がんは発生した場所により口腔がん、咽頭がん、喉頭がん、鼻腔・副鼻腔がん、唾液腺がん、甲状腺がんなどに分けられます。
早期声門がんや早期扁桃がん(咽頭がんの一種)などでは放射線治療単独で根治が可能です。
手術では顔貌が変化したり、発声、咀嚼、嚥下などの機能が失われたりしますが、放射線治療であれば形態・機能を維持することが可能です。
進行がんであれば手術や薬物療法と組み合わせて放射線治療を行います。
根治を目指す場合、照射線量は50~70Gy、照射期間は5~7週間程度です。
早期声門がんでは1回の照射線量を増やして照射回数を30~60回から25~27回程度に減らす寡分割照射を積極的に採用しています。
放射線治療を行うには耳鼻咽喉科の診察が必要です。

中咽頭がん。手術では取り切れなくても放射線治療は可能。

IMRTは照射したい場所に沿って照射できる技術。
従来法に比べ周囲の正常臓器・組織を避けて照射できる。
これにより有害事象(副作用)の低減が図れる。
肺がん
リンパ節や他の臓器に転移のないI期肺がんの場合、手術が標準療法(一番治りやすい治療法)です。しかしながら、高齢であったり心臓や肺の機能が悪くて手術ができない場合、手術を希望されない場合は体幹部定位放射線治療がよい選択肢です。
体幹部定位放射線治療は1回線量を4~12Gyに増やして行い、照射線量は48~60Gy、照射期間は1~3週間程度です。

I期肺がん。
多方向から腫瘍に対してピンポイントで照射(体幹部定位放射線治療)。
II~III期の肺がんで手術が難しい場合、あるいは手術後にリンパ節に転移をきたした場合は薬物療法を併用した化学放射線療法で根治を目指します。
組織型が腺がんや扁平上皮がんなどの非小細胞がんの場合、照射線量は60~66Gy、照射期間は6~7週間程度です。
組織型が小細胞がんの場合は平日1日に2回照射を行います。照射線量は45Gy、照射期間は3週間です。
放射線治療に際し呼吸器内科あるいは呼吸器外科の診察が必要です。

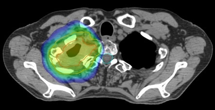
III期肺がん。IMRTを用いて正常の肺や食道、脊髄の線量を減らしている。
小細胞がんは脳に転移しやすいため、予防的に脳全体に照射を行います。限局性小細胞がんで放射線治療および化学療法を行い、画像上がんが消失あるいは大幅に縮小した方が対象です。これにより再発率減少、生存率上昇が示されており標準療法となっています。
脳全体への照射では認知機能が低下することがあります。予防を目的とした線量では認知機能低下が起こる可能性は低いですが、さらに可能性を下げるため記憶を司る海馬を避けた海馬回避全脳照射を試みています(標準療法ではありません)。

小細胞がん、脳転移予防の照射。IMRTを用いて海馬を避けて脳全体に照射。
認知機能の低下を防ぎつつ脳への転移を予防できる可能性がある。
乳がん
乳がんの温存手術後に、局所の再発予防を目的として乳房全体に放射線治療を行います。がんが大きかった場合やリンパ節転移があった場合などでは照射する範囲を広げることもあります。
乳房を全摘出された方でもがんが大きかった場合やリンパ節転移があった場合などでは放射線治療を行います。
照射線量は50~60Gy、照射期間は5~6週間程度です。
早期がんの方では1回の照射線量を増やして照射回数を25~30回から16~20回程度に減らす寡分割照射を積極的に採用しています。
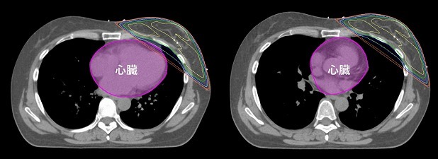
また、左乳がんの場合、通常の照射法では左乳房に近接する心臓に悪影響を与えるおそれがあります。当院では、心臓への影響を避けるため深吸気息止め照射という照射法を用いています。

乳がんで乳房温存手術後。再発を防ぐため同側の乳房全体に照射。
左乳がんの場合、従来の照射法(左図)では近接する心臓がわずかだが照射される。
深吸気息止め照射法(右図)を用いると心臓が照射されなくなることが多い。

腋窩リンパ節転移が多い場合、リンパ節再発しやすい首も含めて照射。
食道がん
がんが粘膜面にとどまっている早期がんの場合、内視鏡治療が標準療法です。内視鏡治療の適応外で、かつ他の臓器に転移のないI~III期食道がんの場合、手術(+薬物療法)が標準療法です。
しかしながら高齢であったり心臓や肺の機能が悪くて手術ができない場合、手術を希望されない場合は根治をめざして放射線治療を行います。
照射線量は50~60Gy、照射期間は5~6週間程度です。
放射線治療に際し消化器内科あるいは外科の診察が必要です。

心臓が悪く手術が困難であり、薬物療法を併用した放射線治療を行った。
直腸がん
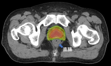
多くの場合、手術が標準療法です。手術での取り残しを防ぐため、手術前に薬物療法を併用した放射線治療を行うことがあります。照射線量は45Gy、照射期間は5週間です。
高齢であったり心臓や肺の機能が悪くて手術ができない場合、手術を希望されない場合は根治を目指した放射線治療を行うことがあります。照射線量は50-66Gy、照射期間は5~7週間です。
放射線治療に際し消化器内科あるいは外科の診察が必要です。

併存疾患のため手術できず薬物療法と放射線治療の併用療法で根治を目指した。
IMRTを用いて直腸がん自体には高線量を、転移しやすいリンパ節領域には予防的な線量を照射。
肛門がん
手術あるいは薬物療法を併用した放射線治療が標準療法です。
手術では人工肛門が必要になりますが、放射線治療では肛門を温存することが可能です。
照射線量は54-70Gy、照射期間は6~7週間です。
放射線治療に際し消化器内科あるいは外科の診察が必要です。

IMRTを用いて肛門がんと転移しやすいリンパ節領域に照射。
肝がん
肝がんには肝臓から発生した原発性肝がんと、他の部位のがんが肝臓に転移した転移性肝がんに分けられます。原発性肝がんには肝細胞がんと肝内胆管がんがあります。
がんの状態により手術やラジオ波焼灼療法(RFA)、肝動脈化学塞栓療法(カテーテル治療)、薬物療法などを行います。がんが1~3箇所で、これらの治療が困難な場合に体幹部定位放射線治療を行います。
照射線量は40-60Gy、照射期間は1~3週間です。
粒子線治療が望ましい場合は実施施設を紹介致します。
放射線治療に際し消化器内科あるいは外科の診察が必要です。

肝内胆管がん。多方向から腫瘍に対してピンポイントで照射(体幹部定位放射線治療)。
膵がん
切除可能な場合、手術が標準療法です。手術での取り残しを防ぐため、手術前に薬物療法を併用した放射線治療を行うことがあります。照射線量は40~50Gy、照射期間は3~6週間です。
高齢であったり心臓や肺の機能が悪くて手術ができない場合、あるいは手術で取り切れないと判断される場合は根治を目指した放射線治療を行うことがあります。照射線量は48-66Gy、照射期間は3~7週間です。
粒子線治療が望ましい場合は実施施設を紹介致します。
放射線治療に際し消化器内科あるいは外科の診察が必要です。

手術で取り残す可能性が高い箇所を中心にIMRTで照射。
胃や小腸、腎臓など周囲の臓器を避けて照射している。
子宮がん
子宮がんには発生した場所により子宮頸がんと子宮体がんに分けられます。
子宮頸がんはごく早期のがんを除き、薬物療法を併用した放射線治療が標準療法です。放射線治療は外照射と内部照射で行います。内部照射は当院では行えませんので、実施施設に紹介し協力して治療を行います。外照射の照射線量は45~60Gy、照射期間は6~8週間で、内部照射は週1回毎に5回程度行います。
粒子線治療が望ましい場合は実施施設を紹介致します。
子宮体がんは手術が標準療法です。手術で取り切れなかった場合、あるいは、再発の可能性が高いと判断された場合、術後照射を行うことがあります。
放射線治療に際し産婦人科の診察が必要です。
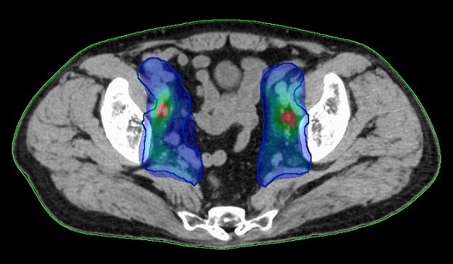
前立腺がん
リンパ節や他の臓器に転移のない前立腺がんではすべての方に放射線治療の適応があります。放射線治療には外照射と内部照射があり、外照射にはX線治療と粒子線治療があります。内部照射には永久挿入密封小線源治療と高線量率組織内照射があります。当院ではX線による強度変調放射線治療(IMRT)を行っております。
がんが前立腺からはみ出している場合は手術では取り切れませんが、外照射は治療可能です。
早期がんを除き、ホルモン治療を一定期間併用します。
照射線量は70~78Gy、照射期間は7~8週間です。
リンパ節転移のない方では、1回の照射線量を増やして照射回数を35~39回から20回に減らす寡分割照射を積極的に採用しています。

IMRTを用いて直腸の線量を減らして前立腺に照射。
リンパ節や他の臓器に転移があっても一定の条件を満たせば根治を目指した放射線治療が適応になります。

骨盤内のリンパ節に転移のある場合は前立腺に加えてリンパ節領域も同時に照射。
手術で取り切れなかった場合や手術後に再発した場合でも根治を目指した放射線治療が可能です。
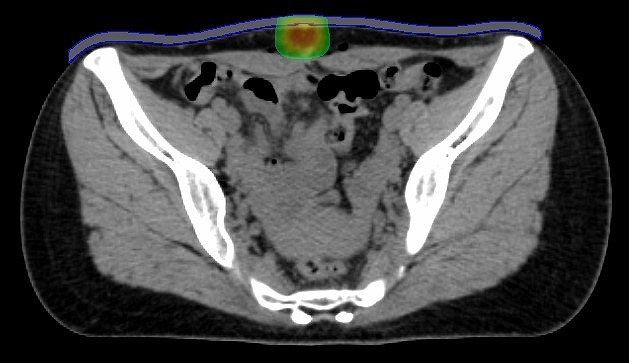
手術後に本来0になるべきPSA値が0.2ng/mlを超えてきた場合をPSA再発と呼びますが、この場合、前立腺のあった個所(前立腺床)を中心に放射線治療を行うことで根治に結びつきます。画像上再発病変が指摘できる前に治療を開始した方が根治率が高くなることが分かっています。
照射線量は66Gy、照射期間は7週間です。
ホルモン治療を一定期間併用することがあります。また、治療経過により照射範囲や照射線量・照射期間が変わることがあります。

PSA再発をきたしたためIMRTを用いて前立腺床に照射。
膀胱がん
I期の一部、II-III期では膀胱全摘除術が標準療法です。
高齢であったり心臓や肺の機能が悪くて手術ができない場合、手術を希望されない場合は根治を目指した放射線治療を行うことがあります。膀胱全摘除術と違い、膀胱を残せる利点があります。従来は膀胱全摘除術に比べて治療成績が劣りましたが、最近では抗がん剤や膀胱部分切除術と組み合わせることで膀胱全摘除術に匹敵する治療成績が得られつつあります。
放射線治療に際し泌尿器科の診察が必要です。

膀胱がんは膀胱の別の箇所に再発しやすい。
このため膀胱全体を予防的に照射する必要がある。
その後病変に絞って照射。
骨腫瘍・軟部腫瘍
骨や筋肉など軟部組織から発生する骨腫瘍・軟部腫瘍は稀ですが、種類は極めて多彩です。ごく一部の骨腫瘍・軟部腫瘍を除き、手術が標準療法です。
手術で取り切れなかった場合、あるいは再発の可能性が高いと判断された場合、術後照射を行うことがあります。
高齢であったり心臓や肺の機能が悪くて手術ができない場合、あるいは、手術で取り切れないと判断される場合は根治を目指した放射線治療を行うことがあります。
照射線量は50~80Gy、照射期間は4~8週間です。
粒子線治療が望ましい場合は実施施設を紹介致します。
放射線治療に際し皮膚科あるいは整形外科の診察が必要です。

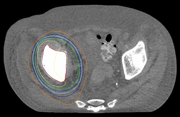
大腿原発の悪性軟部腫瘍術後。再発を防ぐための術後照射。

頭皮にできた血管肉腫。頭皮に沿って進展しやすく頭皮の大部分に照射が必要。
IMRTを用いて頭蓋内(脳)が照射されるのを最小限に抑えている。
悪性リンパ腫
悪性リンパ腫には濾胞性リンパ腫やマントル細胞リンパ腫、びまん性大細胞型B細胞リンパ腫、NK/T細胞リンパ腫、ホジキンリンパ腫など極めて多彩な病型を有します。
また、体のリンパ節のみならず、脳や涙腺、唾液腺、甲状腺、乳房、胃、精巣などさまざまな臓器から発生します。
多くの場合、薬物療法が標準療法です。
病変の広がりが限定的である場合等では放射線治療単独、あるいは、薬物療法と放射線治療の併用療法が第1選択になることがあります。
照射線量は24~60Gy、照射期間は2~6週間です。
放射線治療に際し血液内科の診察が必要です。
ケロイド
ケロイドはがんではありませんが、放射線治療を行うことがあります。
主として手術後の再発を抑える目的で行います。
放射線治療は電子線という放射線を用いて体の表面のみを照射します。
照射線量は16~20Gy、照射期間は2週間です。

腹壁にできたケロイド。
再発予防のため切除後に照射。
体の上にシート状の吸収体を置いた上で電子線を照射。
体内まで照射されないようにしている。
緩和照射
放射線治療にはがんを治すために行う根治照射と痛みなどのがんによる症状を和らげるために行う緩和照射があります。
緩和照射はからだのあらゆるがん病変が対象になります。
照射線量はがんの状態によりさまざまですが、照射期間は1日~2週間のことが多いです。一般的に根治照射に比べて照射線量はかなり低く抑えられていますので、緩和照射に伴う有害事象(副作用)は起こらないか、起こっても軽微であることがほとんどです。
症状の緩和は数日で得られることもありますが、照射終了後1~2カ月程度かかることがあります。
骨に転移して痛みがある場合、放射線治療により8割の方で痛みが軽減、3割の方で痛みが完全に消失します。鎮痛薬を減らしたり、完全になくしたりすることも可能です。
胃がんから出血している場合、報告にもよりますが放射線治療により5~9割の方で止血効果がえられます。
その他、がんにより下記の症状がある場合、放射線治療で症状が緩和できる可能性がありますのでご相談ください。
| 原発・転移部位による症状・病態 | |
|---|---|
| 脳 | 頭痛、けいれん、各種神経症状 |
| 眼窩 | 疼痛、複視、視力低下、失明 |
| 頭頸部 | 疼痛、出血、嚥下困難、息切れ |
| 肺 | 疼痛、咳嗽、血痰、閉塞性肺炎、呼吸苦、上大静脈症候群 |
| 食道 | 嚥下困難、嚥下時痛、出血、閉塞 |
| 胃 | 疼痛、出血、通過障害、早期満腹感 |
| 肝臓・膵臓 | 疼痛、早期満腹感、黄疸 |
| 子宮・卵巣 | 疼痛、出血、尿路閉塞、水腎症 |
| 腎・尿管・膀胱・前立腺 | 疼痛、出血、尿路閉塞、水腎症 |
| 直腸 | 疼痛、出血、しぶり腹、残便感、直腸閉塞 |
| 骨 | 疼痛、脊髄圧迫による麻痺 |
| 皮膚・軟部組織 | 疼痛、出血、滲出液、悪臭 |
転移性骨腫瘍

肺がん腰椎転移。転移巣が腰椎を溶かし、骨外に進展している。
放射線治療により疼痛が緩和され、かつ腰椎転移は消失し骨が修復された。
転移性骨腫瘍・単回照射

直腸がん腸骨転移。
1日で終了する単回照射を施行。
緊急時には 当科の受診 → 準備 → 照射 までを1日で終了させることも可能。
腫瘍縮小効果は少ないが、鎮痛効果は高くからだへの負担がほとんどないのが利点。
肺がん

腫瘍により左主気管支が閉塞。
左肺が完全無気肺(含気がない状態)となり呼吸苦が強い。
放射線治療により左主気管支の閉塞が解除され呼吸苦が改善。
転移性肝腫瘍・単回照射

乳がん多発肝転移。
肝臓内に転移巣が多発して肝腫大をきたし、腹痛や黄疸を伴っている。
肝臓全体に1回限りの放射線治療を行うことで症状改善が得られた。
報告では6~7割の方で症状改善が得られる。
胃がん

胃がんから出血して貧血が増悪。
放射線治療を行うことで出血が止まり貧血が改善傾向となった。
止血効果は比較的早く得られることが多い。
膵がん

胃に浸潤し肝転移もある膵がん。痛みや早期満腹感あり。
放射線治療を施行したところ膵がんは縮小し症状は緩和された。
肝転移は増大したが、症状緩和により抗がん剤治療を続けることができた。
転移巣に対する放射線治療は症状がなくても以下の場合に検討します。
- 病変が少数箇所に限定されている場合、その全病変に対して
- 病変が多数存在しているが少数箇所のみ悪化している場合、その悪化している病変に対して
- 脳への転移など薬物療法の効果が期待できない場合
- 脊椎・大腿骨などの荷重のかかる骨への転移など、悪化した場合に脊髄損傷や歩行障害など重大な症状が起きる場合
特に病変が少数箇所(3箇所以下)に限定されている場合、その全病変に対してIMRTや定位放射線治療の技術を用いて有害事象(副作用)を減らしつつ高線量を投与することで生存率の改善がえられるという報告があります。
転移性骨腫瘍

腎がん胸椎転移。他に病変がないためIMRTを用いて真ん中の脊髄を外して胸椎に高線量を照射。

転移性副腎腫瘍

肺がん副腎転移。副腎以外に病変が認めないため体幹部定位放射線治療を施行。
転移性脳腫瘍
肺がん多発脳転移。
多方向から腫瘍に対してピンポイントで照射(脳定位放射線治療)。
新規リニアックのHyperArc機能で20箇所程度までの病変を同時に照射可能。
個々の大きさに応じて照射線量を変えることも可能。
従来より大幅に照射時間が低減。
再照射
従来は一度放射線治療を行った箇所には放射線治療を追加(再照射)することは困難とされてきました。
しかしながら、放射線治療技術の進歩により再照射が可能な症例が増えてきています。
がんによる症状を和らげるために行う緩和照射は多くの場合可能です。一定の条件下ではがんを治すために行う根治照射も可能です。

膠芽腫。過去に60Gy照射した場所に再発。IMRTを用いて再度照射している。

肺がん。過去に50Gy照射した場所に再発。
高精度照射技術を使用すれば再度根治を目指した照射ができる可能性がある。
臨床研究
臨床研究とは人を対象として行われる医学研究のことです。放射線科(治療部門)では治療や指導などの介入を行ってその結果を評価する臨床試験と既存の診療情報を利用しで経過や診療の効果・影響につき検討する観察研究を行っています。
| 疾患 | 研究課題 |
|---|---|
| 乳がん | 乳房温存療法における超寡分割照射法の多機関共同非ランダム化検証的試験 |
| 疾患 | 研究課題 |
|---|---|
| 肺がん | 非小細胞肺癌に対する根治的放射線治療に関する観察研究(PDF 304KB) |
| 小細胞肺癌に対する根治的放射線治療に関する観察研究 (PDF 413KB) | |
| RT-Lung-BT:肺癌由来の転移性脳腫瘍に対する放射線治療の実態に関する後方視的研究(PDF 697KB) | |
| 食道がん | 食道癌に対する放射線治療の症状緩和効果を評価する観察研究 |
| 全般 | 高精度放射線治療の発展に資する医学物理研究(PDF 336KB) |
