放射線技術科
業務内容 保有資格 一般撮影 X線TV透視 CT検査 MRI検査 RI検査 骨密度検査 血管造影検査 ESWL マンモグラフィ 放射線治療 診療支援棟 学会・論文発表
業務内容
放射線技術科は、放射線診断医、放射線治療医のもと、診療放射線技師21名(うち1名は医学物理士)が各検査・放射線治療に携わっております。
画像診断部門では、2管球CT装置(128×2マルチスライス)、3テスラ MRI、バイプレーンの血管撮影装置等、最新式の装置を導入し、精度の高い画像の提供と、早急な血管内治療が可能となりました。
放射線治療部門では、湖北医療圏において当院のみが高精度放射線治療を行える施設として、下記に示す専門の資格を持った技師及びがん放射線療法看護認定看護師により、患者さんにとってより安心・安全で精度の高い放射線治療を実現しています。
また、滋賀県医療情報連携ネットワーク(びわ湖メディカルネット)で地域の先生方との医療情報の共有が可能となっています、是非、CT・MRI・DEXA 等検査の依頼もお願いいたします。
今後もチーム医療に貢献できるよう優れた人材の育成に努め、診療に最適な画像情報の提供を目指します。
保有資格
| 医学物理士 | 1名 |
|---|---|
| 放射線治療専門放射線技師 | 4名 |
| 放射線治療品質管理士 | 4名 |
| 第1種放射線取扱主任者 | 1名 |
| 第2種放射線取扱主任者 | 1名 |
| 検診マンモグラフィ撮影技術・精度管理認定 | 5名 |
| 磁気共鳴(MR)専門技術者 | 1名 |
| 核医学専門技師 | 1名 |
| X線CT認定技師 | 3名 |
| 救急撮影認定技師 | 3名 |
| 臨床実習指導教員 | 2名 |
| 日本診療放射線技師会マスター技師 | 1名 |
| 日本診療放射線技師会シニア技師 | 2名 |
| MR技能検定3級 | 6名 |
| 医療画像情報精度管理士 | 5名 |
| 放射線機器管理士 | 4名 |
| 放射線管理士 | 3名 |
一般撮影
放射線を使う検査の中で、みなさんが一番に思い浮かべるのがこの検査ではないでしょうか。
通常、病院等で身体の撮影に使われている放射線は、いろんな放射線の種類がある中でも、X線と呼ばれているものです。そのX線を利用して撮影します。胸部、腹部、頭部、脊椎、手足等いろんな部位を短時間で検査することができます。
妊娠中の方、又は妊娠の可能性のある方は検査の前に担当者にお知らせください。

一般撮影装置

一般撮影装置・パノラマ装置

FPD搭載一般撮影装置(診療支援棟)

X線TV透視
名前のとおりX線を用いて身体の中を透視し、その様子をTVモニターで観察しながら写真を撮ることができます。また、X線透視を行いながら治療も行います。
(1)の装置では消化器系を中心に使用され、胃の健診で行われるバリウムを用いての胃の透視検査や、造影剤という薬を用いての食道・胃・腸の動きを見る検査、肝臓や膵臓、胆嚢や胆管等の検査、治療に使用されています。
(2)の装置は、H24年3月、老朽化に伴い、従来とは異なるタイプのフレキシブルな方向へX線が出力できる装置へ更新しました。その装置は外科系を中心に使用され、主に骨折や脱臼の整復治療や、脊椎や関節に造影剤を注射しての検査、肩や腰に対して痛み止めの注射を行ったり、気管支鏡や嚥下機能に関する透視検査、また手術後の造影透視検査等、多様な検査に対応し使用されています。
(3)の装置は、泌尿器・産婦人科専用のX線TV装置で、平成29年3月に装置の老朽化に伴い更新しました。大型フラットディテクタを搭載し、画像処理能力の向上により被ばくを抑制しながら画質の向上が望めます。
また、内視鏡等の外部入力映像の切り替えが可能で、専用装置として使いやすさを追求し、術者、患者さんに優しい装置となっています。

※左から
(1)X線TV撮影装置
(2)Cアーム型X線TV装置
(3)泌尿器・産婦人科専用X線TV装置
(4)胃のバリウム造影
(5)腰椎ミエログラフィ
CT検査
CTとは、輪切りの画像を撮影する装置で、下の写真のような穴のあいた装置の中に体を入れて検査を行います。
装置内では、その穴を中心に、X線管球(X線がでるところ)と検出器(X線を受けるところ)が回転しています。人体を通過してきたX線をコンピューターで計算処理すると、体の輪切りの画像が得られ、その画像が病気の診断や治療に使われます。
当院の現状
現在、当院では、本館にシーメンスヘルスケア社製2管球CT装置(128×2マルチスライス)1台およびマルチスライス64列CT装置1台、診療支援棟にキャノンメディカル社製マルチスライス80列CT装置1台、合計3台が稼働しています。
マルチスライスCT装置は、短時間で広範囲を撮影することができ、息を止めていただく時間が短いため、患者さんにとってより優しい検査が行えます。また、データ量が多く、高精細な3D画像、血管像、任意の断面像を作ることができます。
2管球CTでは、46cmの長さを1秒で撮影できる速さを持ち、息止めの困難な患者さんや、動きの速い心臓の撮影にとても強い装置です。また、低管電圧を活用して放射線被ばくを減らし、造影剤の使用量も抑えて検査することが可能となりました。
CT検査について
ほとんどのCT検査はじっと動かないで寝ているだけ(また数回の息止め)で終わりますが、検査の内容によっては造影剤という薬を注射することがあります。検査時間はおおよそ5分から20分ですが、検査する部位によっては検査前の絶食が必要なことがありますので、予約時の説明をしっかりお聞きください。

Dual Source 128×2マルチスライスCT

マルチスライス64列CT

80列マルチスライスCT(診療支援棟)

心臓血管3D画像

下肢血管3D画像

肝臓血管3D画像
『月刊新医療』 10号に当院CT装置の記事が掲載されましたので紹介します。
当院の今後の構想や新しく導入したCT装置に関する内容です。
『月刊新医療』2020年10月号 8~13項.pdf (PDF 3.01MB)
MRI検査
MRIとは
MRI(磁気共鳴イメージング)検査は、放射線科の他の検査で紹介しているX線等を用いた検査と異なり、強い磁石と電波を用いて身体の内部の状態を検査する方法です。内容によっては注射をすることもありますが、身体を傷つけることなくじっとしているだけで、下の図のように血管の画像やいろいろな角度から、いろいろなコントラストで身体の断面の画像を撮像することができます。

3.0T-MRI装置

1.5T-MRI装置(診療支援棟にて稼働)
当院のMRI装置
当院では2台のMRI装置が稼働しています。1台はより強い3T(テスラ)の磁力でより精密に画像化することが可能な最新の技術を搭載したシーメンス社製MRI装置で、放射線科内にて稼働しています。もう1台は1.5Tの磁石の強度をもち、救急にもいち早く対応できるよう診療支援棟にて稼働し、身体のあらゆる部位を画像化でき、新しい技術も盛り込んだフィリップス社製MRI装置です。ともに、従来よりも検査を受ける方に優しいトンネル部分が大きくなった装置で、閉所に弱い方でも負担の少ない配慮された装置です。
MRI検査における注意点
MRIで使用する磁石や電波は通常人体に影響はないとされています。しかし、検査が受けられない場合や注意が必要となる場合があります。これらについて当院では、注意事項の書いた用紙とチェックリストをお渡しし、検査前に確認していただいております。
また、磁石を用いた装置なので磁気カードや時計等は使用不能となったり、故障の原因となりますので検査室へは持ち込めません。金属類も同じように持ち込めません。
MRI検査について
検査中は、上の写真の装置の中に入っていただき、じっとしているだけで終わります。検査の内容によっては、息を止めてもらったり、より詳しい検査を行うために造影剤というお薬を投与したりもします。
周囲から大きな音がして多少うるさく感じますが、その時は撮像中になります。一度の検査で数種類の撮像を行います。検査時間は内容によって異なりますが、15分~30分程度です。

RI検査
RIとは
RI検査とは、検査目的に応じた薬を注射したり飲んだりした後に、体の外から検査用のカメラで撮影して、その分布や機能を画像にし、身体の病気の有無を調べる検査です。薬の中には、微量の放射線を出すラジオアイソトープという物質が入っており、この放射線を利用して検査を行います。
薬から出る放射線はとても弱いため身体への影響は非常に少なく、時間経過とともになくなっていきます。(尿や便として体外へ排出されることにより影響はさらに軽減されます。)
ほとんどの検査は30分程度ベッドに寝ているだけで終わります。
また、RI検査は、薬の有効期限が当日限りのものが多いためすべて予約制になっています。必ず指定の日時にお越しください。

核医学装置

骨シンチ

脳血流SPECT

心筋SPECT
骨密度測定
骨密度測定というと聞きなれませんが、簡単に言うと、骨の強さ(密度)を測定し、骨粗しょう症の予防と治療に役立てるための検査です。骨粗しょう症は、骨の密度が減少し、骨がもろくなり骨折しやすくなります。
骨粗しょう症を調べる検査には、血液を調べる方法や、超音波やX線を使う方法等があり、また検査部位も手、足、腰、関節等さまざまです。
当院の放射線科ではより精密な検査を行うために写真のような測定機器を使い、腰および大腿骨頚部の2カ所の骨を測定しています。
検査にかかる時間は10分程度です。

骨密度測定装置
血管造影検査
血管造影検査は、動脈または静脈にカテーテルを挿入し、先端を目的部位(脳、心臓、肝臓等)まで進め、血管内に造影剤を注入し血管像や腫瘍像の撮影をする検査です。この検査により、血管の狭窄や閉塞、奇形、出血性病変、腫瘍性病変等を診断・治療することができます。
当院では、4台の血管撮影装置が稼働し、検査や血管内治療を行っています。心臓専用カテーテル室は2室となっており、増え続ける循環器疾患患者様に対しても365日24時間対応しています。

胸腹部および四肢用血管撮影装置(本館)

心臓用血管撮影装置(診療支援棟4階)

心臓用血管撮影装置(診療支援棟3階)

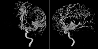
頭部用血管撮影装置(診療支援棟3階)

冠動脈

3DRA

3D画像

CTライクイメージング
ESWL
ESWLとは、体外衝撃波結石破砕術といい、下の写真の衝撃波ヘッドから衝撃波(音波の一種)を作り出します。その衝撃波を腎結石、尿管結石、胆結石等にあてることによって結石を砕き、身体の外へ排出しやすくします。



マンモグラフィ
マンモグラフィとは、乳房のエックス線撮影のことをいいます。
マンモグラフィは、触診ではわからない乳がんの初期症状の一つである「小さな石灰化」を写しだすことが大きな特徴です。
当院ではH28年3月に装置の老朽化に伴い更新しました。新しい装置はピンクを基調とし、受診者の緊張と不安を和らげてくれています。
新しい装置では最新機能である、乳房内部の構造を観察可能にする“トモシンセシス撮影”が可能となりました。
“トモシンセシス撮影”とは、エックス線管球を移動しながら連続的にエックス線を照射し、異なる照射角度から複数の画像を撮影して3Dデータとして再構成します。
通常のマンモグラフィ(2D画像)は、3次元の解剖学的情報を2次元で表示するため、乳線と病変が重なりあった画像となりますが、3D画像になることで病変位置を特定することが可能となる、最新機能です。
当院では、「マンモグラフィ検診精度管理中央委員会」の基準を満たした「マンモグラフィ検診施設画像認定」を取得しています。また、撮影に関しても専門の資格を取得した女性の技師を中心に検査を行っています。
ご不明な点やご質問等がありましたら、お気軽に担当技師にお尋ねください。


乳房撮影装置
放射線治療について
放射線治療装置の紹介
更新した放射線治療装置が2023年7月から稼動しています。

放射線治療装置True Beam(バリアン社製)
旧装置からの変更点
- 強度変調回転治療(VMAT)やHyperArcといった新たな高精度放射線治療方法の追加により、高精度で複雑な放射線治療を短時間で計画・照射することが可能となります。
- FFF(フラットニングフィルターフリー)高線量率モードによる短時間照射が可能となり、患者様への負担軽減が期待できます。
- 6軸カウチシステム搭載により、従来から補正できていた4軸(Z軸:縦方向X軸:横方向、Y軸:高さ方向、Yaw:寝台回転方向、)だけでなく、残りの2軸(Pitch:頭の上下回転方向、Roll:体軸の横回転方向)の補正も可能となり、より高精度に位置照合を行うことが可能となります。寝台位置も0.1mm単位で移動可能となり、さらなる位置照合の正確性が得られます。
- 新たな画像照合方法として、呼吸同期CBCT・4D-CBCTが撮像可能となり、呼吸性移動のある部位に対して、より正確な画像照合が可能となります。さらに従来と同じ方法による画像照合においても画質や自動照合システムの精度向上がみられ、より正確な放射線治療が可能となります。
診療科治療部門へはこちら

治療計画用CT go.Sim(シーメンス社製)
特長
- 大口経ボア(850mm)で、大きな治療用固定具も十分に撮像でき、最大FOVも850mmとボア内全範囲を画像再構成することが可能です。
- raw dataを用いたモデルベース逐次近似法(SAFIRE)や自動管電圧・管電流調整機構(CARE kV)を搭載し、従来の画質を担保したまま患者様への被ばくを低減することが可能となります。
- シーメンス社独自の金属アーチファクト低減アルゴリズムiMARを搭載し、金属周辺の観察が可能になります。アーチファクトの低減は放射線治療計画の手助けにもなります。
- シーメンス社独自のTin(Sn:すず)Filterを使用して、X線スペクトルを高エネルギー側にシフトさせることが可能です。これにより、被ばくの減少やアーチファクトを抑える効果が期待できます。
- 新たな画像再構成機能Direct Densityにより、撮影時の管電圧に関わらず、一定の電子密度へ変換できる画像を得ることができます。これにより視認性に優れた画質と標準化された線量分布計算の両立が可能となります。
診療支援棟
診療支援棟 放射線機器のご紹介
診療支援棟に新しく設置されました放射線機器は、1階救急初療室のすぐ隣に一般撮影室、CT室、同じフロアにMRI室を設けることにより救急患者さんの検査が集約されることとなりました。
一般撮影装置はSHIMADZU RAD speed
DRシステムはFUJIFILM CALNEO Smartを導入いたしました。
CT装置は、可変ピッチ対応のバリアブルピッチヘリカルスキャン、金属アーチファクト低減再構成処理(SEMAR)、逐次近似法(AIDR3D)、心電図同期フラッシュヘリカル等の機能が搭載されており、チルトヘリカルスキャンが可能なTOSHIBA Aquilion PRIME80列を導入いたしました。
MRI装置については、DIR・ASL・SWI・MV・DIXON等の新しいシーケンス が搭載され、ホールボディーの撮像も可能になり、従来の装置よりSNRが向上し、ワイドボア、ワイドFOVのPHILIPS Ingenia 1.5Tを導入し、部屋の照明も明るく、患者さんに優しい検査室となっております。

SHIMADZU RAD speed

TOSHIBA Aquilion PRIME80列

PHILIPS Ingenia 1.5T
診療支援棟4階にはPHILIPS社製の血管撮影装置Azurionを導入し、心臓専用機として検査および血管内治療を行っています。
血管撮影装置にはインスタントパラレルワーキング機能が搭載されており、検査室・操作室でのマルチタスク処理が行え、術者、コメディカルスタッフがお互いの作業を中断させることなく、独立して操作可能です。これにより、治療の質を損なうことなく検査および血管内治療を行っています。

PHILIPS Azurion7 B12/12
診療支援棟3階には、58インチ大型モニターを搭載したPHILIPS AlluraClarity FD10/10、20/15のバイプレーン血管撮影装置を2台導入し、それぞれ心カテ、頭部の専用機として検査及び血管内治療を行っております。
心カテ用の装置には、インターベンションに有用なステントブースト機能や、一度の造影で多方向から撮影できるXperスイング等の機能が搭載され、頭部用にはXperCT・3DRAの機能や、2Dパフュージョン、3D・骨付きロードマップ等充実したワークステーションとなっています。
また、血管撮影室についてもOPE室、ICUと隣接しており血管障害に対する早急な治療が可能となりました。

PHILIPS AlluraClarity FD10/10

PHILIPS AlluraClarity FD20/15
今後もチーム医療に貢献できるよう、新しい治療・技術の研鑽を日々積み重ね、病院理念に基づき湖北地域の基幹病院として安全・安心で精度の高い放射線技術科を目指します。
学会・論文発表
学会発表(令和6年度)
嶋津美和子
夜間勤務(当直業務)に向けての新人教育について
滋賀県診療放射線技師会 第1回学術研修会
令和6年11月6日(南草津)
川上 正邦、足立 孝則、安永 敏美、小坂 恭弘
頭部定位放射線治療におけるセットアップエラーがDVHパラメータに及ぼす影響
日本放射線腫瘍学会第37回学術大会
令和6年11月21日(横浜市)
村澤優樹、田邉啓太、西村正明、辻雅之、前川涼、永田理紗
bite chipの噛み方の違いによるHyperArc用固定具Encompassの固定精度の検討
令和6年度近畿地域診療放射線技師会学術大会
令和7年2月9日(大阪市)
学会発表(令和5年度)
辻雅之
アンケート調査報告 「新人教育について」
滋賀県診療放射線技師会第1回学術研修会
令和5年7月8日(草津市)
宮川孝史
MRCP検査時間短縮の一検討~Compressed Sensing導入に伴って
第39回日本診療放射線技師会学術大会
令和5年9月30日(熊本県熊本市)
宮川孝史、辻村奈々珠、村澤優樹、木村拓美、嶋津美和子、北川徹、富田聡、古山忠宏
MRI検査における検査効率向上の一検討
日本医療マネジメント学会京滋支部第20回集会
令和5年10月28日(長浜市)
辻雅之、田邉啓太、西村正明、木村拓美、前川涼、川上正邦、富田聡
古山忠宏、小坂恭弘
治療RIS改修による治療計画進捗状況見える化の試み
日本医療マネジメント学会京滋支部第20回集会
令和5年10月28日(長浜市)
田邉啓太
「体幹部用固定具とIGRTの紹介」
第11回滋賀県診療放射線技師会放射線治療研究会
令和5年11月25日(長浜市)
辻 雅之・前川 涼
「体幹部固定具作成実習(頚胸部・胸部中心)」
第11回滋賀県診療放射線技師会放射線治療研究会
令和5年11月25日(長浜市)
七里浩也
当院のストレス撮影について
滋賀県診療放射線技師会第2回学術研修会
令和5年11月30日(長浜市)
宮川孝史
当院における緊急頭部MRI検査につきまして
第25回京滋Gyro Meeting
令和6年3月2日(京都府京都市)
学会発表(令和4年度)
前川 涼
オープンマスクを組み合わせた頭頚部固定具の紹介
滋賀県診療放射線技師会 治療研究会
令和4年7月25日(WEB)
辻村奈々珠、来本央、木村拓美、嶋津美和子、辻雅之、宮川孝史、富田聡、古山忠宏 MRIにおける緑内障フィルトレーションデバイスに対する金属アーチファクト低減アプリケーションの基礎的検討 令和4年度滋賀県診療放射線技師会総会・学術研究発表会
令和4年5月29日(草津市)
前川涼
内視鏡X線TV室における医療安全の取り組み
滋賀県診療放射線技師会
令和4年1月20日(WEB)
川上 正邦、伊良皆 拓、安永 敏美、小坂 恭弘
長尺ターゲットに対するIMRTと3DCRTを用いた2アイソセンタ照射法に関する検討
日本放射線腫瘍学会第35回学術大会
令和4年11月10日(広島市)

